Blood tests will likely be part of the initial testing if your doctor suspects you might have MS. Blood tests can’t currently result in a firm diagnosis of MS, but they can rule out other conditions. These other conditions include: Lyme disease.

What does MS feel like in the beginning?

Numbness or Tingling A lack of feeling or a pins-and-needles sensation can be the first sign of the nerve damage from MS. It usually happens in the face, arms, or legs, and on one side of the body. It also tends to go away on its own.

Can anxiety mimic MS?

Never Self-Diagnose MS From Anxiety Unfortunately, anxiety causes many of the same symptoms as the early stages of MS. MS is one of the health issues that comes up most when those with anxiety search for their symptoms online, and millions of those with anxiety convince themselves that they might have MS.

How long can you have MS before it is diagnosed?

Patients with multiple sclerosis (MS) may be developing the disease for up to five years before the first clinical diagnosis is made, a study has found.

How can I test myself for multiple sclerosis?

There are no specific tests for MS . Instead, a diagnosis of multiple sclerosis often relies on ruling out other conditions that might produce similar signs and symptoms, known as a differential diagnosis. Your doctor is likely to start with a thorough medical history and examination.

What does MS feel like in your legs?

Some people with MS describe it as like having bags of sand attached to their legs. This muscle weakness combined with MS fatigue can be upsetting. Weakness in your legs can cause balance and walking difficulties and you may be more likely to fall.

Where does MS usually start?

Here’s where MS (typically) starts Optic neuritis, or inflammation of the optic nerve, is usually the most common, Shoemaker says. You may experience eye pain, blurred vision and headache.

Can you have MS even if your MRI is clear?

MS can be present even with a normal MRI and spinal fluid test although it’s uncommon to have a completely normal MRI. Sometimes the MRI of the brain may be normal, but the MRI of the spinal cord may be abnormal and consistent with MS, so this also needs to be considered.

What does an MS hug feel like?

The ‘MS hug’ is symptom of MS that feels like an uncomfortable, sometimes painful feeling of tightness or pressure, usually around your stomach or chest. The pain or tightness can stretch all around the chest or stomach, or it can be just on one side. The MS hug can feel different from one person to another.

Can a person have MS and not know it?

Benign MS can’t be identified at the time of initial diagnosis; it can take as long as 15 years to diagnose. The course of MS is unpredictable, and having benign MS doesn’t mean that it can’t progress into a more severe form of MS.

Article first time published on

What are the four stages of MS?

  • Clinically isolated syndrome (CIS) This is the first episode of symptoms caused by inflammation and damage to the myelin covering on nerves in the brain or spinal cord. …
  • Relapsing-remitting MS (RRMS) …
  • Secondary-progressive MS (SPMS) …
  • Primary-progressive MS (PPMS)

Does MS show on CT scan?

An acute MS lesion may enhance and appear simply as an enhancing white matter lesion on CT scans, but the appearance is highly nonspecific. When a highly active MS lesion is observed to enhance and possibly exerts mass effect, it can be termed tumefactive (due to the potential for misidentification as a tumor).

What are the symptoms of MS in a woman?

  • Vision problems. For many people, a vision problem is the first noticeable symptom of MS. …
  • Numbness. …
  • Fatigue. …
  • Bladder problems. …
  • Bowel problems. …
  • Pain. …
  • Cognitive changes. …
  • Depression.

Is fibromyalgia worse than MS?

In about half of people with this type of MS, symptoms gradually get worse over time. Treatment can slow progression and reduce other symptoms. Fibromyalgia doesn’t tend to get worse over time, but it doesn’t usually go away.

What does MS nerve pain feel like?

Neuropathic pain happens from “short circuiting” of the nerves that carry signals from the brain to the body because of damage from MS. These pain sensations feel like burning, stabbing, sharp and squeezing sensations. In MS you can experience acute neuropathic pain and chronic neuropathic pain.

What age does MS usually start?

Age. MS can occur at any age, but onset usually occurs around 20 and 40 years of age. However, younger and older people can be affected.

What does MS muscle weakness feel like?

Over time, your muscles can get weaker and weaker. Some people with MS find that their muscles tire more easily than usual. For example, someone with MS might find that their legs might start to feel unstable or they may have trouble moving them after periods of exercise, like walking.

What is tingling in legs a symptom of?

Long-term numbness or a tingling feeling in the legs and feet may be due to conditions such as multiple sclerosis (MS), diabetes, peripheral artery disease, or fibromyalgia. The sensation may be felt in the whole leg, below the knee, or in different areas of the foot.

Do MS symptoms come on suddenly?

Symptoms. Most commonly, MS starts with a vague symptom that disappears completely within a few days or weeks. Symptoms can appear suddenly and then vanish for years after the first episode, or in some cases never reappear. The symptoms of MS vary greatly and can range from mild to severe.

Can MS go away?

Multiple sclerosis treatment. There is currently no cure for MS. The goal of treatment is to help you cope with and relieve symptoms, slow the progress of the disease and maintain a good quality of life. This can be done through a combination of medicine and physical, occupational, and speech therapy.

Is MS worse at night?

Spasticity is one of the most common MS symptoms, and often feels worse at night. This is because it can be aggravated by reduced movement, tight muscles and pain from other symptoms.

Can MS make your head feel weird?

Many people with MS experience dizziness, in which you feel light-headed or off-balance, notes the NMSS. A less-common MS symptom is vertigo. When you have vertigo, you feel as though your surroundings are spinning around you, Dr.

Does MS affect your handwriting?

A deterioration in multiple sclerosis patients’ handwriting aligns with drops in their movement, sensory and cognitive skills, a study reports. MS includes loss of hand dexterity and finger movement control.

Does MS affect your bladder?

Impairments in bladder function with multiple sclerosis (MS) are common and may affect up to 78 to 90 percent of patients during the course of MS. The prevalence of bowel dysfunction in MS is estimated to be about 68 percent of patients. Bladder and bowel symptoms are relatively common in MS and can be treated.

Does MS show up on xray?

Your doctor can do a rapid test to determine if you have strep throat, and see your broken arm using an X-ray. Unfortunately, multiple sclerosis (MS) is much more complex and can take months, or even longer, to accurately diagnosis. There is no single test that will tell you if you have MS.

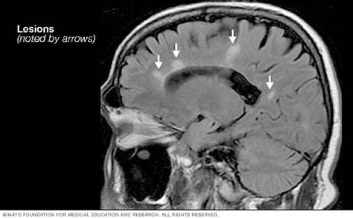
What is the McDonald criteria for MS diagnosis?

Under the McDonald Criteria (revised), an MS diagnosis is likely if myelin damage is disseminated in space, as seen in an MRI as: At least one T2 bright lesion in at least two or four CNS locations: the juxtacortical, perventricular and infratentorial areas of the brain, and the spinal cord.

Do MS lesions come and go?

“Paradoxically, we see that lesion volume goes up in the initial phases of the disease and then plateaus in the later stages,” Zivadinov says. “When the lesions decrease over time, it’s not because the patient lesions are healing but because many of these lesions are disappearing, turning into cerebrospinal fluid.”

What happens if MS goes untreated?

And if left untreated, MS can result in more nerve damage and an increase in symptoms. Starting treatment soon after you’re diagnosed and sticking with it may also help delay the potential progression from relapsing-remitting MS (RRMS) to secondary-progressive MS (SPMS).

What MS is worst?

Secondary progressive MS (SPMS) is a stage of MS which comes after relapsing remitting MS for many people. With this type of MS your disability gets steadily worse. You’re no longer likely to have relapses, when your symptoms get worse but then get better.

How long does MS take to disable you?

Most symptoms develop abruptly, within hours or days. These attacks or relapses of MS typically reach their peak within a few days at most and then resolve slowly over the next several days or weeks so that a typical relapse will be symptomatic for about eight weeks from onset to recovery. Resolution is often complete.

Is CT or MRI better for MS?

Not only is MRI more sensitive than computerized tomography (CT/CAT scan) in picking up MS lesions it also does not involve radiation exposure as the images are generated by magnetic fields and radio waves.